ΥΓΕΙΑ
-
Έτσι θα κρατήσετε τα μυρμήγκια μακριά από το σπίτι σας
Δεν έχει σημασία αν δεν έχετε κανένα μυρμήγκι ακόμα στο σπίτι σας ή αν έχετε παρατηρήσει καμιά δεκαριά διάσπαρτα στο πάτωμα. Η πρόληψη είναι η καλύτερη λύση και γι’αυτό σήμερα θα σας δεί...
Read More » -
Γερμανοί επιστήμονες ανακάλυψαν προϊστορικό DNA χωρίς να χρειαστούν οστά
Επιστήμονες στη Γερμανία κατάφεραν για πρώτη φορά να βρουν ανθρώπινο γενετικό υλικό μέσα σε σπήλαια, παρόλο που δεν ανακαλύφθηκαν καθόλου ανθρώπινα οστά στα ίδια σημεία. Το επίτευγμα χ...
Read More » -
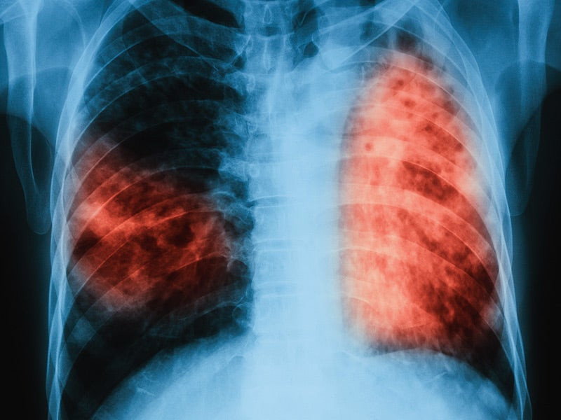
«Έξυπνο» σύστημα κάνει διαγνώσεις φυματίωσης
Επιστήμονες στις ΗΠΑ εκπαίδευσαν ένα σύστημα τεχνητής νοημοσύνης να μελετά ακτινογραφίες-Χ και να κάνει διαγνώσεις φυματίωσης. Το σύστημα αναμένεται να βοηθήσει μελλοντικά τους γιατρούς ...
Read More » -
Αϋπνία: Επτά τρόφιμα και ποτά που σου «κλέβουν» τον ύπνο
Αν τα βράδια δυσκολεύεστε να κοιμηθείτε και το πρωί βλέπετε μαύρους κύκλους γύρω από τα μάτια σας, αναλογιστείτε τι τρώτε και τι πίνετε πριν πέσετε στο κρεβάτι. Για να μην ξημερώνεστε ...
Read More » -
Τα οφέλη του να μιλάει κανείς…στον εαυτό του
Ο Eugene Gamble πέρασε το μεγαλύτερο μέρος της ζωής τους ως οδοντίατρος στο Λονδίνο. Πριν από τρία χρόνια αποφάσισε να αφήσει αυτή τη ζωή και να γίνει επιχειρηματίας. Μόνο που υπήρχε ένα...
Read More » -
Στο Χώμα Υπάρχουν Μικρόβια με Αντικαταθλιπτικές Ιδιότητες παρόμοιες με του Prozac – Λερωθείτε και βρείτε την Ευτυχία!
Το Prozac μπορεί να μην είναι ο μόνος τρόπος για να ξεπεράσουμε την κατάθλιψη. Έχει βρεθεί πως τα μικρόβια του εδάφους έχουν παρόμοιες επιπτώσεις στον εγκέφαλο, χωρίς τις παρενέργειες τω...
Read More » -
Ποια είναι η ιδανική καθημερινή ποσότητα καφέ
Τα οφέλη του καφέ είναι πολλά και σημαντικά για τον οργανισμό, όπως έχουν σημειώσει κατά καιρούς πολλές έρευνες. Μεταξύ άλλων η καφεΐνη αποδεικνύεται βοηθητική για την ενίσχυση του με...
Read More » -
Μεγάλο βήμα της επιστήμης: Τεστ αίματος «προβλέπει» τον καρκίνο – Δύο Έλληνες στην ερευνητική ομάδα (βίντεο)
Επιστήμονες στη Βρετανία -μεταξύ των οποίων δύο Έλληνες- ανέπτυξαν ένα νέο τεστ αίματος (υγρής βιοψίας) που μπορεί να προβλέψει την υποτροπή του καρκίνου των πνευμόνων, έως ένα έτος προτ...
Read More » -
Μεγάλη προσοχή! Ανακαλεί ο ΕΟΦ φαρμακευτικά και δύο ιατροτεχνολογικά προϊόντα!
Στην ανάκληση παρτίδων του φαρμακευτικού προϊόντος ALBIOMIN (Ανθρώπινη Αλβουμίνη), 20%, διάλυμα για έγχυση 50ml & 100ml, λόγω επιμόλυνσης κατά την παραγωγική διαδικασία, με αιθυλενογ...
Read More » -
Oι 6 κανόνες του Ιπποκράτη κατά του καρκίνου!
Ο Ιπποκράτης έδωσε το φάρμακο για τον καρκίνο πρίν πολλά χρόνια. Και θα υιοθετήσουμε την τακτική του επιστήμονα Ιπποκράτη ο οποίος μας έλεγε ότι είμαστε ό,τι τρώμε. Τι συμβαίνει όμως και...
Read More »